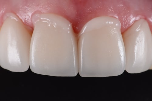
Dental bonding is an efficient, affordable process of bonding tooth-colored resin to the teeth to hide imperfections like small gaps, minor chips, and discoloration. Along with cosmetic benefits, bonding can also be used to fill cavities. Over time, the bonding may need to be touched up or replaced, but it is highly unlikely that it will fall off or break away as the resin that is bonded to the tooth is permanent. Dental bonding takes about 30 to 60 minutes per tooth to complete, and can be completed at a dental office.
Dental bonding can be used to cover up imperfections on the teeth, but it also has other benefits as well, including:
- To fill in a small gap between two teeth
- To repair decayed teeth by filling a cavity with tooth-colored resin
- To change the shape of a tooth
- To repair chips or cracks in teeth
- To cover up discoloration
- To protect the root of a tooth after itβs been exposed by receding gums
- To make a tooth look larger than it is, which is usually done to make it match the other teeth
